Centrum Medyczne Gamma w Warszawie wychodzi naprzeciw oczekiwaniom pacjentów, którzy szukają punktu z dużą ilością usług medycznych. To właśnie tu funkcjonuje ostry dyżur, poradnie specjalistyczne, szpital, a także sale rehabilitacyjne.…
Niektóre metody diagnostyczne charakteryzują się dużym niezrozumieniem, ale też sporym poziomem skomplikowania, który wprowadza wielu pacjentów w stan niepewności, co do zapisu w placówce służby…
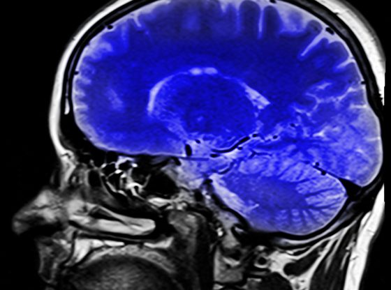
Rezonans Magnetyczny (RM) to zaawansowana technika obrazowania, która odgrywa kluczową rolę w dziedzinie medycyny. Od swojego odkrycia w latach 70. XX wieku, rezonans magnetyczny stale…
Piękny i jędrny biust to marzenie wielu kobiet. O ile jako młode kobiety możemy się takim poszczycić o tyle wraz z upływem lat, a także…
Choroba Leśniowskiego-Crohna ( chLC) zaliczana jest do tzw. nieswoistych chorób zapalnych jelit. Patogeneza choroby jest wieloczynnikowa, a jednoznaczna przyczyna nie została poznana. Najbardziej prawdopodobna wydaje…
Multicooker to jeden z najlepszych sprzętów kuchennych, który może być używany do przygotowywania wielu potraw jednocześnie. Jest to niezwykle wygodne dla osób, które lubią gotować…